Examens & Imagerie
CHAMP VISUEL HUMPHREY
Examen réalisé dans le glaucome et les pathologies du nerf optique
ECHOGRAPHIE OCULAIRE MODE B
Echographie de l’œil permettant d'examiner la partie postérieur de l’œil quand celui ci n'est pas analysable par le fond d'oeil
UBM (Echographie Haute Fréquence)
Echographie analysant l'ouverture de l'angle entre l'iris et la cornée et l'aspect de l'iris.
En cas d'angle fermé, le risque de glaucome aigu à angle fermé doit faire réaliser un laser préventif.
TOPOGRAPHIE CORNENNE - PENTACAM
Examen utilisé dans le cadre de dépistage de pathologie cornéenne comme le kératocone
Examen utilisé dans le cadre de la chirurgie réfractive
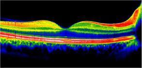
OCT MACULAIRE
Tomographie à cohérence optique s'intéressant à la macula
Examen réalisé dans la DMLA, le diabète, les membranes épirétiniennes, les trous maculaires et toutes les altérations de la macula
OCT NERF OPTIQUE : RNFL ET FIBRES GANGLIONNAIRES
Tomographie à cohérence optique s'intéressant au nerf optique
Examen réalisé dans le glaucome et les pathologies du nerf optique
OCT SEGMENT ANTERIEUR
Tomographie à cohérence optique s'intéressant à la cornée et aux angle irido-cornéen.
Examen réalisé dans l'étude des anomalies de la cornée et de l'angle irido-cornéen.
ANGIOGRAPHIE RETINIENNE
Examen explorant la vascularisation des vaisseaux rétiniens avec injection de produit de contraste
OCT ANGIOGRAPHIE - ANGIO OCT
Examen explorant la vascularisation des vaisseaux rétiniens sans utiliser d'injection de produit de contraste
BIOMETRIE - CALCUL D'IMPLANT -IOL MASTER
Examen utilisé dans le cadre de la chirurgie de la cataracte
Permettant de définir la puissance de l'implant en fonction de la longueur et de la forme de l'œil
PACHYMETRIE
Mesure de l'épaisseur de cornée
Réalisée notamment dans les tensions intra-oculaires limites afin de préciser le facteur correctif à la prise de tension classique : en effet, plus une cornée est fine, plus on sous-dose la tension réelle du patient.
RETINOGRAPHIE
Photo du fond d'œil
Permet de faire un suivi imagé d'une anomalie rétinienne spécifique
COMPTAGE CELLULAIRE PAR MICROSCOPIE CELLULAIRE ENDOTHELIAL
Le comptage cellulaire endothélial par microscopie spéculaire est une technique avancée utilisée pour évaluer la densité et la morphologie des cellules endothéliales de la cornée. Ces cellules jouent un rôle crucial dans le maintien de la transparence cornéenne et la régulation de l'hydratation de la cornée.
Au
Pôle Ophtalmologique, nous offrons des examens précis pour surveiller la santé de votre cornée.
IMAGERIE DE L'OEIL SEC - MEIBOGRAPHIE
L’imagerie du syndrome sec se fait au cabinet avec une plateforme de diagnostic spécifique et dédiée, aidée de l’intelligence artificielle comprenant :
- Une Meibographie : imagerie qui nous permet d’évaluer la morphologie des Glandes de Meibomius in vivo, de manière non invasive et sans désagréments pour le patient
- Une étude du menisque de larmes
- Une analyse de la couche lipidique du film lacrymal
- Une étude de la stabilité lacrymale
- Une analyse du clignement
Au
Pôle Ophtalmologique, nous offrons des examens précis pour surveiller la santé de votre cornée.
SONDAGE - LAVAGE DES VOIES LACRYMALES
Examen permettant de dépister l'obstruction des voies lacrymales















